物品拍卖
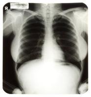
玛丽莲-梦露1954年拍摄的胸部x光片
已故性感女神玛丽莲-梦露的各类遗物有着无尽的市场。在高价拍出她的香水,台词册等物品之后,她的胸部x光片也成了买家热捧的商品。据美国媒体报道,当地时间2010年6月27日,美国内华达州拉斯维加斯举办的好莱坞传奇拍卖会上,玛丽莲-梦露1954年在医院拍摄的三张胸部x光片以45000美元的高价被拍卖。
这次拍卖品中还包括梦露最后一张照片中的椅子,这把椅子以35000美元被拍出。
据称,会上还有其他好莱坞明星的物品被高价拍出。其中包括“泰坦尼克号”女主角凯特•温斯莱特在片中佩戴的耳环,以25000美元被拍卖,还有奥黛丽-赫本在剧中穿过的一条裙子,以56250美元被拍出。


公安机关备案号:44040302000222

